5.3.8 Gonády

Z pohlavních orgánů jsou z klinického hlediska nejdůležitější postradiační změny vaječníků a varlat, jelikož se jedná o nejvíce radiosenzitivní pohlavní orgány. I po ozáření pohlavních orgánů nízkými dávkami může navíc dojít k výskytu nádorů a v případě těhotenství i ke geneticky vázaným defektům plodu.

Dávky v rozmezí 0,15 - 5 Gy způsobují dočasnou oligospermii až sterilitu. Po ozáření vyššími dávkami je sterilita trvalá. Avšak ani po ozáření varlat dávkami způsobujícími permanentní sterilitu není postižena produkce testosteronu v Leydigových buňkách, jelikož tyto buňky jsou velice radiorezistentní. Již po 3,5 - 48 hodinách od ozáření sterilizující dávkou lze pozorovat úbytek nezralých spermatogonií, jejichž úhyn způsobí blokaci spermatogeneze. Od 2 týdnů po ozáření se rozvíjí ztluštění bazální membrány a stromální edém. Poté se do 8. týdne rozvíjí aplazienezralých buněk až se nakonec v semenotvorných kanálcích nachází pouze Sertoliho buňky. Vzhledem k dozrávání a uvolňování zralejších a radiorezistentních buněk i po ozáření se blok spermatogeneze na úrovni spermatogonií projeví formouprogresivní oligospermie až 6 - 7 týdnů po ozáření. Pokud jsou varlata ozářena dávkou způsobující přechodnou sterilitu, pak se nové spermatogonie objevují 2 - 8 týdnů po ozáření, spermatidy za několik měsíců a produkce spermií se normalizuje do 2 let po ozáření.

Radiační změny v ovariu připomínají fyziologickou atrézii folikulů. De­strukční fáze trvá 3 - 4 týdny, ozářením se rovněž narušuje nebo přechodně za­stavuje ovariální cyklus. K úplné sterilitě může dojít již při dávkách vyšších než 3 Gy. U ozářených žen se mohou objevit menorrhagie, amenorrhea trvající 3 - 4 měsíce, u žen nad 45 let z 99,3 % již trvalá. Po jednorázovém ozáření vaječníků dávkami do 6,5 Gy se rozvíjí přechodná sterilita, po dávkách vyšších pak sterilita trvalá. U vaječníků ozářených vysokými dávkami lze pozorovat povšechnou atrofii.

 

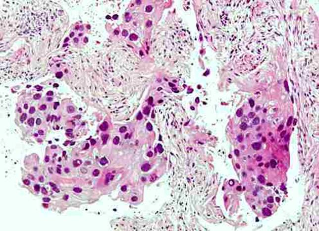
Děložní čípek po ozáření

Děložní čípek po ozáření.

 
 

powered by sirdik