5.3.4 Gastrointestinální trakt

Dávky ionizujícího záření, které způsobují gastrointestinální (GIT) syndrom jsou větší než dávky, jež jsou příčinou objevení dřeňové formy ANO samotné. To je způsobeno vyšší radiorezistencí epiteliálních střevních buněk. Ke gastrointestinálnímu syndromu dochází, v případě jednorázového zevního ozáření, v důsledku ozáření dávkami většími než 8 Gy.

 

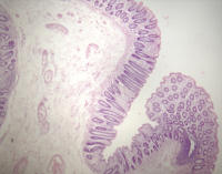
Epiteliální střevní buňkyEpiteliální střevní buňky

Epiteliální střevní buňky.


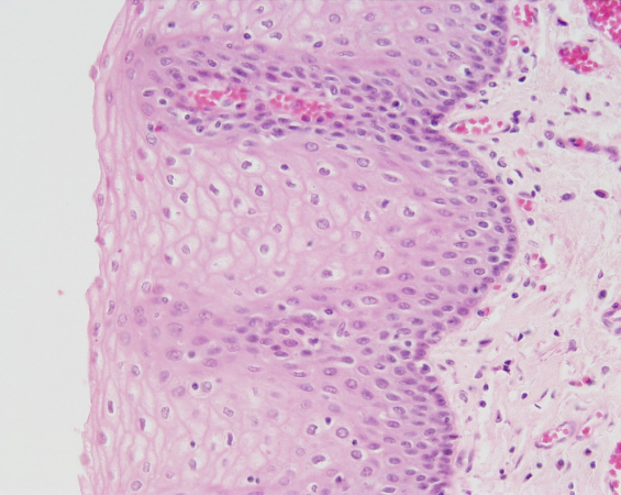
Reakce sliznice dutiny ústní, hltanu a horní části jícnu na ionizující záření, zvláště při vnitřní kontaminaci, je rychlá. Sliznice je překrvená, edematózní. Při vyšších dávkách dochází k jejímu poškození a tvorbě nekrotických vředů, které se záhy infikují. Poškozen je rovněž povrch jazyka, do­chází k destrukci chuťových pohárků. Hltan je relativně radiorezistentní, ale vyšší dávky vyvolávají nekrózu mukózy a parafaryngeálního vaziva. Při lokálním ozáření ostatních částí trávicího traktu, tj. ústní dutiny, jícnu a žaludku mají postradiační změny charakter akutního katarálního zánětu (stomatitis, oesophagitis). Stupeň poškození závisí na výši radiační dávky a je odrazem ztráty regenerační kapacity germinativní vrstvy sliznice. Může se jednat o zarudnutí, ale i těžké defekty charakteru trofických vředů. U takových trofických vředů může při progresi stavu dojít např. k perforaci jícnu nebo žaludku, což přímo ohrozí život ozářeného, a prognóza je zde závislá na poskytované zdravotní péči.

 

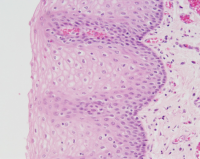
Postradiační stomatitida

Postradiační stomatitida.


Nepříjemnou komplikací je poškození funkce slinných žláz se všemi nepříznivými důsledky danými jejich hypofunkcí pro nemocného.

 

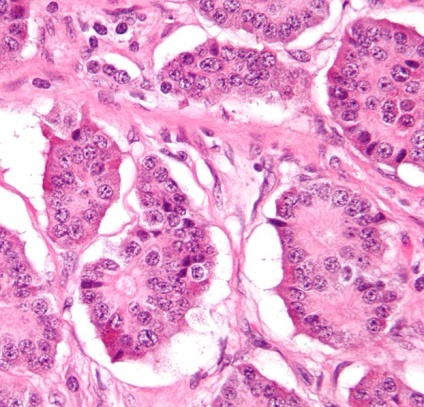
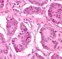
Epitel slinné žlázy

Epitel slinné žlázy.


Poškození sliznice jícnu se projevuje těžkým zánětem sliznice, který se u nemocného projevuje tlakem a bolestí za sternem a obtížným, bolestivým polykáním.

 

Průřez stěnou jícnu (A - epitel, B - mukóza, C - sval)Průřez stěnou jícnu (A - epitel, B - mukóza, C - sval)

Průřez stěnou jícnu (A - epitel, B - mukóza, C - sval).


V žaludeční sliznici jsou výrazně radiosenzitivnější buňky žlázového epitelu produkující pepsinogen (hlavní buňky) proti parietálním buňkám, tvořícím kyselinu chlorovodíkovou. Pokles koncentrace HCl v žaludku dokumentuje jejich funkční poškození. Porucha tvorby žaludeční šťávy, zároveň s působením ionizujícího záření při vnitřní kontaminaci vede k postupnému vývoji těžko se hojících vředů, spojených s masivním krvácením. Obnova buněk je poměrně rychlá. Ionizující záření rovněž ovlivňuje funkce hladké svaloviny.

Nejvíce je postiženo tenké střevo vzhledem k tomu, že zde probíhá nejintenzivnější buněčný obrat. Jsou-li radiačně poškozena germinální centra v Lieberkühnových kryptách, dochází ke zpomalení či úplné zástavě obměny epiteliálního krytu krypt. Střevní klky, zbavené epiteliálního krytu se stávají zdrojem nekontrolované sekrece vody, elektrolytů a bílkovin do střevního lumina (společně s cévním postižením) a zároveň jsou vstupní branou do organismu pro bakterie, které běžně kolonizují střeva.

Pozdními následky lokální expozice střeva ionizujícímu záření jsou striktury s následnou obstrukcí. Následkem chronického radiačního poškození střevní vaskulatury, zejména na úrovni arterií a arteriol, je atrofie sliznice a fibrotizace intersticia. Insuficietnícévní zásobení a atrofie sliznice pak má dále tendenci ke vzniku trofických vředů.

image020image021

 

Problém v diagnóze střevního syndromu tkví v neexistenci klinického příznaku specifického pouze pro radiačně indukované gastrointestinální poškození. Mikroskopické vyšetření u průjmů může objevit zánětlivé buňky, které jsou příznačné pro úplavici. Radiační enteropatie však není výsledkem zánětlivé odpovědi. Prognóza tohoto syndromu je doposud plně letální, jelikož neexistuje účinná léčba.

V důsledku možné kontaminace řitního otvoru může dojít i radiačnímu poškození sliznice rekta. Sliznice je zde rovněž zarudlá, edematózní, je zvýšené nebezpečí krvácení. Stav je zhoršován zvýšeným nebezpečím bakteriální i parazi­tární kontaminace.

 

Radiační proktitida

 

Radiační proktitida.

 
 

powered by sirdik