5.3.2 Lymfatická tkáň

Lymfocyty jsou vůči ionizujícímu záření značně citlivé, a proto jsou lymfatické uzliny již po malých radiačních dávkách prakticky bez lymfocytů. Naopak, s ohledem na radiorezistenci vazivové složky lymfatických uzlin po­zorujeme vzrůst počtu retikulárních buněk. Při nízkých dávkách dochází k regeneraci tkáně již po několika hodinách po ozáření a tak může nastat para­doxní situace, kdy zvýšený počet mitóz převáží ztráty lymfocytů, takže jejich počet je vyšší než normální, často s defektem chromozomů. Vysoké dávky způsobují fibrózu lymfatické uzliny, a tím i ztrátu její funkce. Pokud poklesne počet lymfocytů v průběhu 24 hodin po ozáření pod 50 % (nebo pod hodnotu 1x109 / l) lze očekávat, že se rozvine dočasná forma akutní nemoci z ozáření, pokud pod 0,5x109 / l mohla být dávka záření až letální.

 

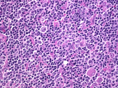
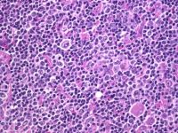
Lamfatické uzliny

Lymfatické uzliny.

 

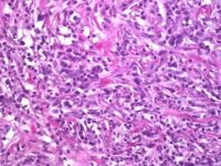
Fibróza lymfatické tkáně

Fibróza lymfatické tkáně.


V důsledku bakteriémie a snížení imunoreaktivity jsou lymfatické uzliny zaplaveny mikroorganizmy. Místy lze pozorovat intenzivní fagocytární činnost makrofágů, které bývají často vyplněny fagocytova­nými mikroby.

Při regeneraci lymfatických uzlin se objevuje značné množství buněk plazmatického typu.

 

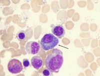
Plazmocyty

Plazmocyty.

 
 

powered by sirdik