5.3.6 Kardiovaskulární systém

Srdeční tkáň je poměrně radiorezistentní. Radiační poškození srdečního svalu se klinicky vyskytuje sekundárně po lokálních ozářeních při frakcionovaném ozáření o celkové dávce 40 Gy jednotlivými frakcemi 2 Gy.

Následkem je hemorrhagie, degenerace svalových vláken a následná fibróza. Podobné změny byly zaznamenány i při chronickém ozařování nízkými dávkami (do 0,1 Gy) při celkové dávce 18 - 24 Gy. Perikard je vůči ionizujícímu záření podstatně citlivější a důsledkem jeho poškození je zánět spojený s výpotkem a následnou fibrózou.

U velkých cév je výstelka citlivější vůči ozáření než zbývající část cévní stěny. Nejvíce radiosenzitivní je výstelka kapilár. Následkem potom může být omezení, případně úplné uzavření průtoku krve cévou, resp. kapilárou s ischémií tkáně, která je artérií zásobena.

Cévní postižení v důsledku radiačního poškození hraje klíčovou roli v postradiační orgánové patologii. Vzhledem ke všudypřítomnosti cév v organismu je celá řada zejména pozdních následků radiačního záření sekundární záležitostí vznikající v důsledku postižení cév (zejména arterií) různých kalibrů.

 

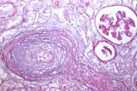
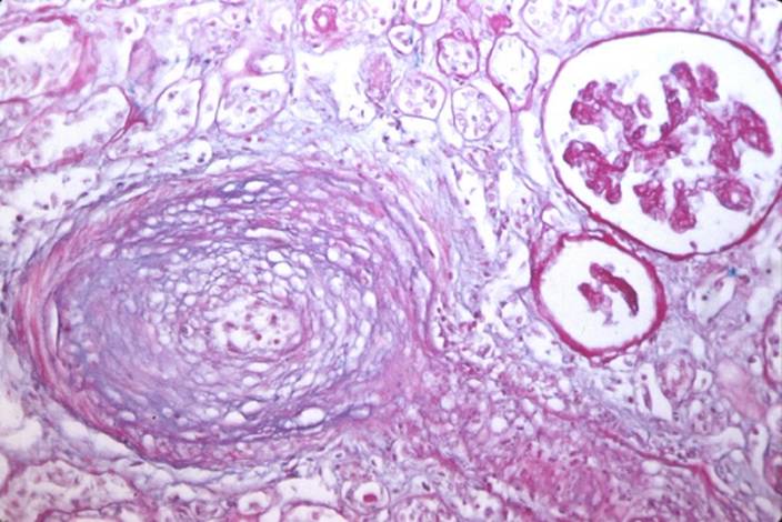
Radiační poškození cévy

Radiační poškození cévy.

 

Postradiační cévní poškození je vždy spojeno se subintimálním edémem. Krevní plazma, která prosakuje přes poškozenou cévní bariéru, obsahuje tekutinu, ionty a biologicky málo aktivní látky např. albumin, ale i vysoce biologicky aktivní makromolekuly. Všechna uvedená fakta podporují zejména ta morfologická pozorování, která zdůrazňují endarteriální proliferaci a intersticiální fibrózu na úrovni drobných arterií a arteriol i skutečnost, že arteriální systém je mnohem více radiosenzitivní než systém venózní. Z uvedeného je zřejmé, že kvalita cévní bariéry alymfatická drenáž intersticia hrají významnou, ne-li klíčovou úlohu při indukci a rozvoji celé řady postiradiačních regeneračních a reparačních procesů, neboť podobné (specifické, receptorové), i když nikoliv tak komplexní účinky mají např. i angiotenzin II a α2 makroglobulin.

Na poškození cévní stěny se mohou podílet i tkáně, které ji obkružují.

Nejčastější příčina úmrtí u ozářených osob, pochopitelně mimo zhoubných onemocnění, je důsledkem postižení cévní stěny v centrálním nervovém systému, případně i mimo něj.

Postižení drobných arterií: časné změny jsou mnohem méně vyznačeny, neboť arterie jsou relativně rigidní struktury. Nicméně, v průběhu času se rozvíjí evidentní poškození endotelu a médie. Jde zejména o fragmentaci a porušení membrana elastica interna, degenerativní změny buněk hladké svaloviny médie a její hyalinizace, fibrotizaceadventicie, která přechází do intersticia.

 

Fibróza arteriální stěny

Fibróza arteriální stěny.

 
 

powered by sirdik