2.4.2 Reprodukční buněčná smrt

Jelikož esej tvorby kolonií měří ztrátu reprodukční kapacity, je jednou formou buněčné smrti, která se zde určitě zaznamená, tzv. „reprodukční buněčná smrt". Poškození DNA není v některých případech úspěšně opraveno, avšak je opraveno chybně, buňky se stanou neschopnými reprodukce, protože v některém okamžiku selhává mitóza. Představme si například dicentrický chromozom. Když se buňka během mitózy snaží oddělit chromatidy, je vysoká pravděpodobnost, že se aparát vřeténka zamotá, a tím není schopen poskytovat dva zřetelně oddělené soubory chromozomů pro dvě mateřské buňky. Pod mikroskopem lze někdy pozorovat dvě buňky spojené tenkým můstkem cytoplazmy obsahující DNA, což nejpravděpodobněji znamená, že nastalo dělení buňky, avšak došlo k chromozomálnímu poškození, které nelze rozmotat. To se nazývá „mitotickou katastrofou".

 

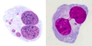
Mikroskopický obrazy „mitotických katastrof"

Mikroskopický obrazy „mitotických katastrof". Buněčné jádro se rozdělilo, avšak buňka pak osahuje vedle hlavních jader několik mikrojader z acentrického chromozomálního fragmentu (nalevo), anebo dceřiná jádra jsou spojena můstkem obsahujícím chromatin, pravděpodobně následkem vzájemného propletení chromatidů (napravo).

(modifikováno podle www-pub.iaea.org/MTCD/publications/PDF/eprmedt/Day_2/Day_2-8.pps)


Když uvážíme vztah mezi přežívající frakcí a počtem chromozomových aberací, lze rozumně předpokládat, že přežijí pouze buňky bez jakékoli aberace. Podle Poissonovy statistiky, je-li střední počet letálních zásahů m, potom pravděpodobnost n zásahů je

P(n) = m * exp (-m) / n!

Pravděpodobnost buňky mající 0 letálních zásahů, to jest pravděpodobnost přežití, je tedy

P(0) = m * exp (-m)

Je-li střední počet zásahů na buňku 1, potom

P(0) = 1 * exp (-1) = 1/e nebo 37%

Proto dávka snižující přežívání na 37 % nebo 1/e (z původních 100 %) bude vyvolávat právě jeden letální zásah. Je zajímavé, že pro mnoho typů buněk dávka redukující přežívání na 37 % je přesně ta dávka, která vyvolává vznik jednoho dicentrického chromozomu na buňku. Proto lze rozumně předpokládat, že tento typ chromozomové aberace je hlavní příčinou reprodukční buněčné smrti.

 
 

powered by sirdik